就像一個國家需要防御力量來保護自己的邊界免受敵人侵害一樣,人體也需要一種防御機制來保護自己免受病毒、細菌和其他各種病原體等微生物的入侵。因此,免疫系統充當人體抵御傳染性生物和其他病原體的防御力量。
免疫系統由各種類型的細胞、組織、蛋白質和器官組成。在本主題中,我們將介紹免疫系統的各種細胞和器官。
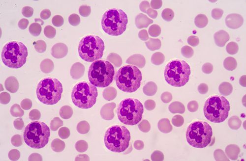
白細胞 (WBC),也稱為白細胞,是免疫系統的主要細胞之一,負責對抗引起疾病的微生物或病原體。白細胞形成并儲存在脾臟、骨髓、胸腺等身體的各個器官中。因此,這些器官被稱為“淋巴器官”。
白細胞通過血管和淋巴管在體內器官和節點之間循環;通過這種方式,他們能夠檢測到任何外來生物。
白細胞主要有兩種類型;
吞噬細胞
淋巴細胞/淋巴細胞
1. 吞噬細胞
吞噬細胞是吞噬入侵生物的細胞。體內循環的這些類型的白細胞具有攝取和消化外源性抗原如生物體、不溶性顆粒和內源性物質如死亡宿主細胞、受損細胞、細胞碎片等的能力。
A. 吞噬作用
吞噬細胞吞噬外來微生物的過程稱為“吞噬作用”。此過程涉及多個步驟:
趨化性涉及吞噬細胞對在體內引發免疫反應的生物體的吸引力。
該抗原附著在吞噬細胞的細胞膜上。
偽足向表面附著的抗原延伸。
隨著偽足的融合,形成稱為“吞噬體”的膜結合結構。
然后,抗原進入吞噬細胞的內吞途徑,吞噬體與溶酶體融合,形成吞噬溶酶體。
溶酶體含有最終消化抗原的稱為溶菌酶的消化酶。
然后通過胞吐作用將消化的物質從吞噬細胞中拋出。
B. 吞噬細胞的類型
吞噬細胞可根據其細胞形態和細胞質染色特征進一步分為各種類型。
一個。單核吞噬細胞
單核吞噬細胞由兩種類型的細胞組成,單核細胞和巨噬細胞。
一世。單核細胞
在骨髓中“造血” (血細胞形成)的過程中,粒細胞-單核細胞祖細胞分化為前單核細胞。然后,這些前單核細胞離開骨髓并進入血液。在那里,它們分化成成熟的單核細胞。這些成熟的單核細胞在其生命的最初 8 小時內在血液中循環,然后,它們離開血液系統,進入身體的各個組織。
ii. 巨噬細胞
巨噬細胞是沉積在身體組織中的成熟單核細胞。我們可以簡單地說,存在于血流中的吞噬細胞稱為單核細胞,而存在于組織中的吞噬細胞稱為巨噬細胞。
當單核細胞轉化為巨噬細胞時,它的大小會增加五到十倍,細胞器的數量和復雜性都會增加,并獲得吞噬能力。
巨噬細胞分散在體內并定居在系統的各個器官和組織中。根據它們的組織位置,巨噬細胞分為:
如前所述,巨噬細胞充當“抗原呈遞細胞”(APC),但它們需要在開始在其表面呈遞抗原之前被激活。
灣。粒細胞
這些是具有分葉核和顆粒狀細胞質的吞噬細胞。它們被分類為中性粒細胞、嗜酸性粒細胞和嗜堿性粒細胞。
中性粒細胞有一個多裂的細胞核,它們的細胞質是顆粒狀的。它們用酸性和堿性染料染色。因此,中性粒細胞也被稱為“多形核白細胞”(PMN),因為它們有一個多葉核。這些細胞也是通過骨髓中的造血作用形成的。它們首先被釋放到血液中。在血液中循環七到八小時后,它們最終被轉移到組織系統中。中性粒細胞是最先到達炎癥部位的細胞。中性粒細胞數量的短暫增加,稱為“白細胞增多癥”,是人體感染的跡象。中性粒細胞采用氧依賴性和非氧依賴性途徑來產生抗菌物質。中性粒細胞在消化微生物方面比巨噬細胞更有效,并且能夠產生更大的呼吸爆發。中性粒細胞占總白細胞的 50-70%。
ii. 嗜酸性粒細胞
這些細胞由雙葉核和用伊紅紅染料染色的顆粒狀細胞質組成。嗜酸性粒細胞僅占白細胞的 1-2%。就像中性粒細胞一樣,它們也從血液遷移到組織空間。嗜酸性粒細胞在吞噬微生物中作為吞噬細胞的作用很小,但它們在寄生蟲入侵過程中起著至關重要的作用。嗜酸性粒細胞分泌的物質可以破壞寄生蟲的細胞膜。
iii. 嗜堿性粒細胞
嗜堿性粒細胞是具有葉狀細胞核和顆粒狀細胞質的細胞,只能被亞甲藍染色,亞甲藍是堿性的。這些細胞占白細胞總數的不到 1%。嗜堿性粒細胞是非吞噬細胞,但積極參與過敏反應。顆粒狀細胞質釋放的藥理活性物質在某些過敏反應中起重要作用。
C。肥大細胞
肥大細胞也參與過敏反應。當這些細胞通過造血在骨髓中形成時,作為肥大細胞的前體開始在血液中循環。一旦進入組織系統,它們就會成熟/分化。肥大細胞存在于各種組織中,如皮膚、各種器官的結締組織以及呼吸道、泌尿生殖道和消化道的上皮內層。就像嗜堿性粒細胞一樣,它們也含有顆粒狀的細胞質,其中含有組胺等藥理活性物質。肥大細胞和嗜堿性粒細胞共同構成人體免疫系統抵抗侵入機體的過敏反應物的防御力量。
d。樹突狀細胞
樹突狀細胞覆蓋著長長的膜狀延伸,使其看起來像神經系統的樹突狀細胞,因此得名。我們體內有四種樹突狀細胞;
朗格漢斯細胞
間質樹突狀細胞
骨髓細胞
淋巴樣細胞
盡管存在差異,所有四種類型的樹突狀細胞都表達II 類 MHC分子和B7 共刺激家族的成員。
未成熟的樹突細胞,也稱為“隱蔽細胞”,通過吞噬作用獲得抗原,而成熟的樹突細胞通過在其表面呈遞這些抗原來獲得抗原。所有四種類型的樹突狀細胞都充當抗原呈遞細胞 (APC),并將抗原呈遞給輔助 T 細胞 (TH 細胞)。由于它們在其表面表達 II 類 MHC 分子,因此,它們是比巨噬細胞或 B 細胞更有效的 APC。
一旦抗原進入體內,朗格漢斯細胞和間質樹突細胞就會遷移到淋巴結,在那里它們將抗原表達給 TH 細胞。這一特殊過程有助于引發免疫反應。
另一種類型的樹突細胞是濾泡樹突細胞。這些細胞在其表面不表達 II 類 MHC,因此不作為 TH 細胞的抗原呈遞細胞。它們的作用與其他四種樹突細胞不同。它們不是由骨髓產生的。這些細胞存在于淋巴結的淋巴濾泡中。盡管它們的表面沒有 II 類 MHC 分子,但它們具有抗體的膜受體,允許抗原-抗體相互作用。
2. 淋巴細胞
淋巴細胞占全身白細胞總數的 20-40%,占淋巴細胞的 99%。
淋巴細胞是免疫系統的主要細胞之一。它們負責適應性免疫以及自我與非自我識別、記憶、多樣性和規范的免疫學屬性。我們可以簡單地說,淋巴細胞幫助身體記住以前的傳染性入侵者,識別它們并殺死它們。
淋巴細胞可進一步分為 B 細胞、T 細胞和自然殺傷細胞(NK 細胞)。
A. 自然殺傷細胞
自然殺傷細胞(也稱為 NK 細胞、K 細胞或殺傷細胞)是大顆粒細胞,與 B 和 T 細胞不同,不表達任何表面標志物。NK細胞在腫瘤和病毒感染細胞的宿主排斥中起主要作用,即,它們以識別病毒感染細胞以及檢測和控制癌癥的早期跡象而聞名。NK 細胞也存在于胎盤中,可預防懷孕期間的疾病。
與需要抗原呈遞細胞的 T 細胞不同,NK 細胞以其無需事先激活即可殺死腫瘤細胞的能力而聞名。自然殺傷細胞還釋放一些細胞因子,如 IFNγ 和 TNFα,這有助于增強其他免疫細胞如樹突狀細胞或巨噬細胞的免疫反應。
B. B 淋巴細胞
B淋巴細胞的名字來源于它們的成熟部位,即鳥類的“法氏囊”。該名稱也與哺乳動物物種的主要成熟部位相匹配,即骨髓。B 細胞表面附著有膜結合的免疫球蛋白(抗體)。除免疫球蛋白外,B 細胞表面還存在各種其他分子,例如;
? CD40 -它存在于 B 細胞表面,并與存在于 T 輔助細胞表面的 CD40 配體相互作用。它對于活化的 B 細胞的存活及其分化為漿細胞和記憶 B 細胞至關重要。
? B220-用作B 細胞的標記物。
? II 類 MHC 分子——它們負責 B 細胞的抗原呈遞活性。
? CR1 (CD35)和CR2 (CD21) – 它們是互補的反應產物受體。
? B7-1 (CD80)和B7-2 (CD86) – 這些分子與 CD28 和 CTLA-4 相互作用,它們是各種 T 細胞(包括輔助 T 細胞)表面的重要調節分子。
? FC γ RII (CD32) – 它是 IgG 免疫球蛋白的受體。
最初,當 B 細胞沒有與抗原相互作用時,它被稱為幼稚 B 淋巴細胞。T 細胞也是如此。幼稚 T 淋巴細胞是尚未與任何抗原接觸的細胞。幼稚 B 和 T 細胞存在于細胞周期的 G? 期。當任何微生物侵入人體時,這些淋巴細胞會將抗原吸引到其表面的抗體上。抗原抗體的相互作用激活了 B 細胞和 T 細胞。然后這些細胞開始分化,因為它們從 G? 期進入 G1 期,然后進入 S、G2 和 M 期。B細胞和T細胞的分化導致效應細胞和記憶細胞的形成。
當 B 細胞被激活時,它們會在 4-5 天內開始分裂并分化為“漿細胞”和“記憶細胞”。與 B 細胞相比,漿細胞表面的抗體數量較少,但它們負責合成和分泌針對攻擊身體的抗原的抗體。記憶細胞主要負責識別舊抗原并將這些抗原的所有病理、形態和其他細節存儲在它們的記憶中,以防相同的抗原再次攻擊生物體。漿細胞通常在 1-2 周內死亡。
C. T淋巴細胞
T淋巴細胞之所以如此命名,是因為它們的成熟部位是“胸腺”。就像 B 細胞一樣,T 淋巴細胞也在其表面表達受體,但 T 細胞受體 (TCR) 在結構上與免疫球蛋白不同。與存在于 B 細胞表面的膜結合抗體不同,T 細胞受體不結合游離抗原。這是免疫系統的體液和細胞介導分支之間的區別。B 細胞能夠與可溶性抗原結合,而 T 細胞僅與存在于自身細胞上并由主要組織相容性復合物 (MHC)、腫瘤細胞或病毒感染細胞呈遞的那些抗原結合。
為了被 T 細胞識別,抗原必須通過 MHC 分子存在于抗原呈遞細胞的表面。除了抗原結合的 T 細胞受體,T 細胞還呈遞一些膜分子,如 CD3、CD4 和 CD8。除上述外,還存在成熟的T細胞;
? B7 家族的CD28-受體存在于B 細胞表面。
? CD45 -一種信號轉導分子。
在遇到抗原呈遞細胞后,T 細胞經歷分裂并分化為類似于 B 細胞的效應細胞和記憶細胞。但T細胞譜系的效應細胞包括分泌T輔助淋巴細胞和T細胞毒性淋巴細胞的細胞因子,即TH細胞和TC細胞。
在其表面表達 CD4 的 T 細胞僅與 II 類 MHC 分子結合,而在其表面具有 CD8 的 T 細胞僅與 I 類 MHC 分子結合。它還定義了兩個 T 細胞亞群的功能;CD4+ T 細胞通常起 T 輔助細胞 (TH) 的作用并且是 II 類限制的;CD8+ T 細胞作為 T 細胞毒性細胞 (TC) 發揮作用,僅限于 I 類 MHC 分子。
T 輔助細胞在被激活時會分泌細胞因子,這些細胞因子進一步負責激活 B 細胞、T 細胞和其他參與免疫反應的細胞。這種類型的免疫反應負責產生不同類型的細胞因子。T 細胞毒性細胞在被激活時開始增殖并分化成稱為細胞毒性 T 淋巴細胞 (CTL) 的效應細胞。
T抑制細胞是另一種T細胞,負責阻斷其他淋巴細胞的作用,以防止免疫系統過度活躍。它們也被稱為調節性 T 細胞,并在癌癥治療中進行了廣泛的研究。
如前所述,有各種細胞、組織和器官負責在生物體中建立免疫系統。器官是免疫系統細胞成熟或與抗原相互作用的部位。

免疫系統的器官分為兩種類型;
1. 原發性淋巴器官
這些是淋巴細胞成熟的器官。一旦通過造血形成淋巴細胞,它們就會在骨髓或胸腺中成熟。骨髓和胸腺被認為是免疫系統的兩個主要器官。只有當淋巴細胞在初級淋巴器官內成熟時,細胞才具有免疫能力(能夠產生免疫反應)。
T淋巴細胞在胸腺中成熟,而B淋巴細胞在骨髓中成熟。
胸腺

胸腺是 T 細胞發育和成熟的場所。它是一個扁平的雙葉器官,位于心臟上方。胸腺外部覆蓋有一層囊層,內部分為小葉,小葉通過稱為“小梁”的結締組織相互連接。每個小葉分為兩個隔室。外室或皮層密集地擠滿了稱為胸腺細胞的未成熟 T 細胞,內室或髓質與皮層中的胸腺細胞網絡相連。
可以通過新生兒胸腺切除術在小鼠中研究胸腺的作用,這是一種通過手術從新生小鼠身上切除胸腺的過程。觀察胸腺切除小鼠,發現血液中的 T 淋巴細胞循環急劇下降,因此缺乏細胞介導的免疫。衰老伴隨著胸腺功能的下降。
骨髓

骨髓負責人和小鼠中 B 淋巴細胞的成熟和發育。B淋巴細胞來源于淋巴祖細胞;在骨髓中增殖和分化。
并非所有物種都將骨髓作為 B 細胞成熟的主要淋巴器官。
2. 次級淋巴器官
次級淋巴器官可以被認為是監測細胞外液含量的過濾器。被監測的液體是血液、淋巴液和組織液。然后,這些器官捕獲液體中存在的任何抗原,以便淋巴細胞可以與之相互作用。次級淋巴器官的主要目的是為成熟淋巴細胞提供與抗原相互作用的位點。它是淋巴細胞被激活的部位。
次級淋巴器官包括淋巴結、脾臟和各種粘膜相關淋巴組織 (MALT),例如腸道相關淋巴組織 (GALT)。
淋巴結
這些是豆形結構,含有大量淋巴細胞、巨噬細胞和樹突狀細胞。淋巴結聚集在淋巴組織的交界處。每當抗原進入組織系統時,淋巴結首先會遇到它。
脾
脾臟在引發針對血流中存在的抗原的免疫反應中起主要作用。它是一個巨大的橢圓形器官,位于左上腹腔。
與專門從局部組織系統捕獲抗原的淋巴結不同,脾臟過濾液體并捕獲血源性抗原。脾臟由脾動脈供應,脾動脈將血源性抗原和淋巴細胞輸送到脾臟,與淋巴管供應的淋巴結不同。
脾臟也被囊覆蓋,并被小梁分成隔室。隔間分為“紅漿”和“白漿”。紅髓是舊的和有缺陷的紅細胞被破壞和去除的部位。
粘膜相關淋巴組織 (MALT)
粘膜排列在身體的消化道、呼吸系統和泌尿生殖系統上。該襯里是病原體進入的主要場所之一。因此,黏膜相關淋巴組織具有保護機體免受微生物入侵的能力,因為有大量漿細胞(分泌抗體),甚至超過脾臟、淋巴結中存在的漿細胞數量。 ,和骨髓結合。